Наверное, еще изучая биологию к школе, Вы читали, что у грызунов зубы растут всю жизнь, постоянно стачиваясь о древесину. Для взрослого человека, как бы того ни хотелось, утрата зуба является большой проблемой и несет в себе изменение во всем челюстно – лицевом аппарате. Даже для ребенка потеря молочного зуба, невзирая на постоянное родительское «вырастет новый» может привести к повреждению зачатка постоянного зуба и к другим вытекающим последствиям. Здесь важно помнить, что ни чистка зубов 2 раза в день, ни посещение стоматолога не реже одного раза в полгода, не убережет от возможной травмы зубов (поэтому будьте аккуратны и внимательны! С: ). В этой статье я хотела бы рассказать Вам о таких травмах постоянных зубов как: ушиб зуба (ушиб переднего зуба); трещина коронки зуба; перелом коронки зуба без повреждения пульпы (перелом эмали зуба, перелом дентина зуба).
Рассмотрим причины возникновения травмы зубов, классификацию травмы зубов, симптомы травмы зубов, проявление травмы зубов на рентгене и лечение травмы постоянных зубов.
Классификация травмы зубов
Рассмотрим несколько классификаций травмы зубов.
Согласно Международной классификации стоматологических болезней на основе МКБ -10 (ВОЗ, Женева,1997 год), выделяют следующие травмы зубов:
- S02.5 Перелом зуба.
- S02.50 Перелом только эмали зуба;
- S02.51 Перелом коронки без поврежедния пульпы;
- S02.52 Перелом коронки зуба с повреждением пульпы;
- S02.53 Перелом корня зуба;
- S02.54 Перелом коронки и корня зуба;
- S02.57 Множественные переломы зубов;
- S02.59 Перелом зуба неуточненный;
- S02.2 Вывих зуба;
- S02.20 Люксация зуба;
- S02.21 Интрузия зуба или экструзия зуба;
- S02.22 Вывих зуба (экзартикуляция).
Если говорить о возможных причинах травмы зубов, то здесь различают следующие причины травмы зубов – этиологическая классификация травмы зубов:
- Бытовая или домашняя травма зубов;
- Дорожная или автомобильная травма зубов;
- Спортивная травма зубов.
Бытовая(домашняя) травма встречается у 60% пациентов, которые обращаются с жалобами на травму зубов. И среди этих 60% более половины приходится на травму центральных резцов верхней челюсти. Так же мужчины обращаются чаще с травами зубов, чем женщины J
Классификация травмы зубов по времени возникновения могут быть:
- Острая травма зуба
- Хроническая травма зуба
Острая травма зуба
Острая травма зуба чаще всего возникает вследствие сильного, одномоментого воздействия. Причина острой травмы зубов могут быть
- удар,
- падение лицом вниз,
- падение на спину,
- удар подбородком и много другое;
Хроническая травма зуба
Хроническая травма зуба она вызывается постоянным механичесим воздействием. То есть происходит постоянное истончение эмали зуба. Наиболее частыми причинами хронической травмы зуба являются:
- Вредные привычки,такие как откусывание ниток, кусание ногтей, грызение семечек и орехов и тп,
- Неправильная устновка внутриканального штифта,
- Ортодонтическое лечение,
- Окклюзионная травма,
- Как осложнение флюороза, гипоплазии эмали, кист и опухолей в челюсти.
Классификация
Классификацию проводят по разным параметрам, например, по направлению, силе и месту приложения удара, а также по степени поражения резцов. Очень важно оценить такие критерии, как состояние зубов, возраст ребенка и особенности периодонта.
Более тридцати процентов детей, у которых разрушены или утрачены передние зубы, потеряли их из-за тяжелой травмы. Травмы молочных зубов выступают самым распространенным явлением у детей в возрасте до трех лет, не считая, разумеется, шишек и ссадин.
Особенно неприятна травма постоянных зубов у детей.
Временные зубы зачастую травмируются вследствие вывиха, перелома или отлома коронки. На постоянных зубах у детей можно наблюдать отламывание частей коронки наряду с вывихами или ушибами. Также нередко встречается перелом зубной коронки. Зубные проблемы у детей могут возникнуть в любом возрасте, но вероятнее всего, что случится травма именно молочных зубов в период с одного года до трех лет. Что касается неприятностей с постоянными зубами, то таковые происходят в возрасте десяти лет. Это связано с пиками детской возрастной активности, в это время дети еще не способны рассчитать прибывающие физические силы и возможности.
Итак, какие бывают травмы зубов у детей?
Трещина коронки зуба
Если ввести в поисковике «Что же такое травма», то любой сайт дает понятие «повреждение, нарушение единства, полноты зуба, нарушение его функций». При такой травме как трещина коронки зуба это утверждение не до конца подходит. И я вам сейчас попробую объяснить почему. Во-первых, единство зуба (его полнота) при трещине коронки зуба не нарушается: происходит просто нарушение строения(структуры) эмали зуба.
Основными симптомами, с которыми пациенты с диагнозом трещина коронки зуба обращаются являются: неудовлетворительная эстетика, реакция зубов на кислоесладкое, холодноегорячее.
Клиника трещины коронки зуба
Клиника трещины коронки зуба следующая: внешне как врач, так и пациент, видят заметные глазу линии, идущие параллельно поверхности зуба – трещины коронки зуба; во-вторых, если зуб имеет трещину, то он может выполнять свою функцию. Конечно, не факт, что она будет 100%-ной.
Трещина коронки зуба может быть единственной, парной, множественной или сочетанной.
Трещина коронки зуба может быть вертикальной либо же наклонной. Чаще всего трещина коронки зуба заканчивается в области эмалево-дентинного соединения. Но при значительной силе трещина зуба может распростроняться не только на коронку,но и на корень зуба.
В клинике были описаны и те случае, когда трещина коронки зуба находилась на зубах,соседи которых имели более тяжелую травму зуба.
Диагностика трещины коронки зуба
Пациентов с трещиной коронки на рентгенограмму не направляют, так как в этом нет необхдимости. Но для качественной диагностики трещины коронки зуба в настоящее время используют трансиллюминацию(просвечивание).
Лечение трещины коронки зуба
Трещины коронки зуба не требуют лечения. Но в таких случаях врачу необходимо убедиться в витальности(жизнеспособности) пульпы. Можно делать повторные тесты для контроля в течение 6 месяцев.
Симптомы
Признаки того, что ребенок сломал молочный зуб, достаточно очевидны:
- Размеры и форма зуба изменились. На зубе может появиться небольшой скол, может отсутствовать часть коронки или же зуб оказывается сломанным под корень.
- При неполном переломе вдоль зуба или в его горизонтальной плоскости проходит визуально определяемая трещина. Часть зуба выше надлома может шататься, а при постукивании по зубу у ребенка появляется острая боль.
- Ребенок жалуется на боль в зубе или в челюсти. Во втором случае речь может идти о вколоченном переломе, когда на зуб пришлась осевая нагрузка при ударе или падении. При этом он погружается в альвеолярный отросток и его длина по сравнению с другими зубами заметно уменьшается.
- В тяжелых случаях может наблюдаться кровотечение из десны, и травмы мягких тканей. В большинстве случаев это вызвано травмой корневой части зуба и его опорно-связочного аппарата, вследствие чего может наблюдаться аномальная подвижность зубов, расположенных рядом с травмированным.
К счастью, перелом молочного зуба тяжелой степени встречается редко. Собственно зубочелюстная система ребенка 2-6 лет «предусмотрела» высокую вероятность травм в этом возрасте. Толщина стенок временных зубов меньше, чем у постоянных, а корень формируется не сразу, а постепенно. Благодаря этому ударная нагрузка чаще приводит к повреждениям коронки и шейки, или полному выпадению зуба, чем к травме корня.
Но даже при незначительной травме зуба ребенок должен быть осмотрен стоматологом. В ряде случаев требуется квалифицированное лечение, цель которого — не допустить осложнений.
Ушиб зуба
Ушиб зуба — это достаточно часто встречаемая в жизни пациентов травма зуба. Повреждение зуба, нарушение его фиксирующего (опорно – удерживающего аппарата), но самое главное – без смещения зуба (то есть зуб как был в альвеоле, так и остался) – все это описывает картину ушиба зуба.
Симптомы при ушибе зуба
Пациент при ушибе зуба может жаловаться:
- На постоянную, ноющую боль,
- на боль при прикосновении к зубу,
- на боль при пережевывани пищи,
- при дострагивании языком до поверхности зуба.
Так же при ушибе зуба отмечается его подвижность. Потому что больше всего страдает периодонт зуба.
Клиника ушиба зуба
Клиника ушиба зуба. Врач – стоматолог определяет при ушибе зуба болезненную перкуссию, подвижность.
Диагностика ушиба зуба
Диагностика ушиба зуба: на рентгенограмме изменений нет. Но пульпа зуба в течение нескольких недель может не реагировать на температурные, электрические тесты, но со временем ее чувствительность может восстановиться, поэтому для качественной диагностики ушиба зуба необходимо провести повторные тесты.
Лечение ушиба зуба
Главной целью лечения ушиба зуба является обеспечение покоя зубу сроком в один месяц. Конечно, сперва нужно объяснить пациенту, что кушать орехи или грызть яблоки не получится. При ушибе зуба рекомендуется вывести причинный зуб из контакта с антагонистом. Можно осуществить это путем пришлифовыния, можно использовать специальные ортодонтические каппы. Когда боль утихнет нужно провести повторно тесты на жизнеспособность пульпы. При ее некрозе необходимо провести эндодонтическое лечение, предложить пациенту отбеливание либо же ортопедическое лечение.
Причины повреждения зубов у детей
Увеличение случаев травмирования связано, в первую очередь, с ростом популярности командных, контактных и других видов спорта. Например, хоккея, борьбы, бокса, футбола и прочих. Также причиной повреждения зубов у детей разного возраста могут быть случайные падения во время активных игр на улице или школе. Не менее распространены травмы, полученные в быту, драках, автодорожных происшествиях и других случаях, кода есть высокая вероятность получить удар о твердый предмет.
Риск повреждения зуба возрастает при наличии у ребенка ортодонтических патологий. Например, у пациентов с дистальным прикусом (с протрузией верхней челюсти) травмы случаются в 5 раз чаще, чем у обладателей ортогнатического (нормального) прикуса.
Также повреждения зубов часто возникают у детей, имеющих нарушения зрения, проблемы с опорно-двигательным аппаратом и различные психоневрологические заболевания.
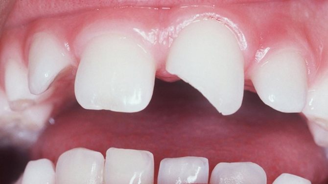
Перелом коронки зуба без повреждения пульпы
Симптомы при переломе коронки зуба (перелом эмали зуба, перелом дентина зуба).
Пациенты с диагнозом перелом коронки зуба без повреждения пульпы (перелом эмали зуба, перелом дентина зуба) жалуются на:
- На кратковременную боль от любых раздражителей. Но чем ближе перелом к пульпе зуба,тем боль при переломе коронки зуба будет интенсивнее;
- боль при любом дотрагивании до зуба;
Врач в клинике при переломе коронки зуба без повреждения пульпы(перелом эмали зуба, перелом дентина зуба) отмечает:
- болезненную перкуссию;
- боль при зондировании.
Часто такая травма зубов как перелом эмали зуба, перелом дентина зуба сопровождаются ссадинами, гематомами губ и щек.
Диагностика при переломе коронки зуба без повреждения пульпы(перелом эмали зуба, перелом дентина зуба).
Пациента отправляют на рентгенограмму, чтобы убедиться, что нет перелома корня зуба и понять,где проходит линия перелома. Необходимо сделать тесты на жизнеспособность пульпы.
Лечение перелома коронки зуба
Лечение перелома коронки зуба нужно проводить в ближайшие сроки после получения травмы. Потому что обнаженный дентин является угрозой для поражения пульпы. Лечение будет заключаться не только в защите дентина от внешней среды, но и в образовании заместительного(репаративого) дентина. Поэтому лучше всего сначала на дно полости класть прокладку кальций содержащую и ставить временную пломбу. Тем самым врач предостерегает себя от возможных осложнений, а уже после устранения симптомов и наличия благоприятной рентгенологической картины, можно ставить и постоянную пломбу.
В следующей статье я подробно попытаюсь рассказать о полном/неполном вывихе зуба, о переломе коронки зуба с обнажением пульпы, о переломе корня зуба , затронем некоторые особенности травмы зубов в детском возрасте.
Статья написана Шидловской Н. специально для сайта OHI-S.COM. Пожалуйста, при копировании материала не забывайте указывать ссылку на текущую страницу.
Что делать если шатаются зубы
Когда болит и шатается зуб у взрослого, то это всегда носит патологический характер, и не считается нормой. Почему зубы шатаются во взрослом возрасте?
Есть целый список причин:
- Патологии десен. Воспалительные и инфекционные заболевания ротовой полости – пародонтит, гингивит. Они делают десна слабыми, вызывают кровоточивость. Зубной корень ослабляется и зубы начинают болеть и двигаться.
- Скрытые хронические болезни. Иногда болит и шатается зуб из –за скрытых хронических патологий. Например, при воспалительных процессах в суставах, в том числе челюстных, артрозов, эндокринных нарушений, ослабления сердечно-сосудистой системы, дефиците кальция, опухолях.
- Вынашивание ребенка. Гормональный дисбаланс и уменьшение количества кальция в крови могут привести к расшатыванию моляров и их выпадению.
- Механические повреждения. Удары, царапины и другие повреждения челюстей могут спровоцировать расшатывание. Особенно если в области повреждения развилось воспаление.
Укрепить шатающиеся коренные зубы можно регулярно применяя профилактические средства:
- Периодически проводить чистку от камней и зубного налета.
- Бросить курить.
- Питаться полноценно и правильно.
- Очищать зубы укрепляющими средствами.
- Не запускать воспаление в ротовой полости.
- Пить добавки с кальцием.
Кроме этого, нужно не реже раза в год, проходить стоматологический осмотр.
Если немного шатается зуб
Если только начали шататься зубы, то нужно срочно принимать профилактические меры. Если вы не знайте почему стали шататься зубы, то лучше показаться врачу для контроля.
Что делать после осмотра врача:
- Дважды в день чистить зубы и полоскать рот.
- Провести коррекцию прикуса, если есть деформация.
- Следить за состоянием десен.
- Питаться правильно, включая в рацион овощи, фрукты и продукты богатые фтором и кальцием.
Эти методы помогут укрепить зубы и предотвратить дальнейшее расшатывание.
Часть моляра подвижна
Шататься и выпадать зубы могут и по частям. Когда шатается половина зуба стоматолог делает рентген снимок, чтобы определить задет ли корень или пострадала только внешняя часть коронки. Если корень не поврежден и основание сохранено, то его можно спасти.
Верхнюю часть коронки убирают, устанавливая на его место штифт. Затем проводят наращивание. Если штифт поставить нельзя, то ставится полимерная пломба, И на нее ставят коронку.
Когда сильно шатается зуб и корень раздроблен, то его удаляют, а на его место ставят искусственную коронку.
Что делать после удара
Ушибы зубов – это закрытые травмы, полученные после сильного механического воздействия. (удара о твердый предмет). При этом зубы остаются на месте, не смещаются, но могут начать двигаться. Особенно уязвимы передние.
Если передний зуб шатается после удара нужно срочно обратиться к врачу, чтобы можно было спасти его. Назначают рентген и электроодонтодиагностику.
Последний метод диагностики дает возможность увидеть начало развития некроза тканей и убрать отмирающие частицы, чтобы не допустить воспаления.
Как правило при ушибе зуба не используют лекарственных средств. Отек десен убирают холодными компрессами, и некоторое время пациент должен подержать жидкую диету, чтобы моляр был в максимальном покое. Иногда, стоматологи практикуют шлифовку режущей кромки зуба и бугры противоположного зуба на нижней челюсти, который задевает больной при пережевывании пищи.
Если шатается коренной
Нередко здоровый зуб начинает резко болеть и расшатываться. Постоянные зубы тоже могут шататься даже если они коренные. Нужно не терпеть, а обратиться к стоматологу. Врач назначает обеззараживающие средства: полоскания хлоргексидином и раствором фурацилина, гелевые аппликации.
Если десна воспалены, то назначаются противовоспалительные и регенерирующие препараты. («Трентал», «Олазоль» и пр). Также остановить процесс помогает физиотерапия. Например, вакуумный массаж, дарсонваль, ультразвуковые процедуры.
После купирования воспалительных процессов в ротовой полости стоматолог укрепляет зубы в правильном положении, накладывают временную шину. Если шатается и болит зуб мудрости, то его чаще всего удаляют так как особой роли в жевательном процессе он не играет.
Нижние зубы
Нижние зубы тоже могут начать расшатываться. Тянуть с обращением к врачу не стоит. Ведь они тоже очень подвижны, поэтому более уязвимы. После диагностики назначается медикаментозное лечение или наложение шины, если нижние передние зубы сильно шатаются и могут выпасть.
Передние
Верхние передние зубы очень подвижны, поэтому нередко они начинают шататься. Чтобы выяснить причину этого проводится комплексное обследование, в том числе панорамный снимок ротовой полости. Что делать, если шатается передний коренной зуб?
После определения причин, обязательно проводится полная санация ротовой полости, чтобы уничтожить инфекционных возбудителей. Если обнаружен пародонтоз, то специалист делает специальный массаж на десны, дарсонваль-процедуры.
Если обнаружены признаки пародонтита, то обязательно счищают камни и зубной налет, проводят полировку зубов ультразвуковым лучом.
Всю поверхность зуба, в том числе шейку полируют щеточкой с применением медицинского лака с содержанием фтора.
Сложные отложения снимают кюретками, которые проходят под десна, вытаскивая отложения. Также проводится открытый кюретаж, когда десна разрезается, а затем ее снова сшивают. Дополнительно прописывают средства, снимающие воспаление с антисептическим эффектом.
Если верхние передние зубы у взрослого серьезно повреждены или разошлись, то на верхнюю челюсть накладывают шину. В моляре просверливают маленькую дырочку, в которую помещают фиберглас. После чего все закрывают любым композитным веществом, которое отражает лучи света. Таким образом, во время движения передней челюсти моляры не расходятся.
При механической травме, когда сломана часть коронки и зубной корень поврежден, то все обломки удаляют, и на место натурального зуба устанавливают искусственные коронки. Чем раньше пациент обратится к стоматологу с проблемой, тем выше успех лечения. В сложных случаях может потребоваться оперативное вмешательство.
Что делать если шатаются зубы и болят десна
Когда кровоточат и воспаляются десна зубы также могут шататься и даже выпадать. Один из факторов, провоцирующих это состояние – острый или хронический гингивит.
Воспалительный процесс провоцирует легкий налет на зубах состоящий из микробных возбудителях или образуются камень на зубах, если плохо ухаживать за полостью рта. Если гингивит не лечить, то микробы проходят глубже в ткани.
Развивается пародонтит, когда на деснах образуется гной, шейки зубов обнажаются, появляется постоянная боль.
При периодонтите воспалительный процесс проходит в тканях, от основания зубного корня. Одновременно с этим появляется флюс, десна сильно отекает и болит.
Иногда из-за хронического инфицирования на деснах образуются кисты, они проявляются не сразу. При серьезных поражениях образуется гранулема на деснах, при которой бактерии поражают десны и корни зубов.
При этом у человека появляется сильный зуд и высокая температура.
Также десны могут болеть после удаления зубов, установке имплантов, брекетных систем, аппаратов, неправильном лечении зубов.
Если зубы шатаются в деснах, то нельзя:
- Нажимать пальцем на десну
- Нагревать компрессами, песком, теплыми полосканиями
- Вскрывать нарыв в домашних условиях
- Пить слишком много обезболивающих
В первую очередь, нужно снять болевой синдром таблетками или уколами. Но превышать дозировку нельзя ни в коем случае. Подойдут парацетамол, анальгин, кетанол и другие аналогичные средства. Также можно использовать гели с обезболивающим и охлаждающим эффектом.
Можно полоскать рот «Хлоргексидином» и «Мирамистином». Делать это нужно утром в обед и вечером, чтобы был результат.
Что делать в домашних условиях
Народные средства для укрепления зубов известны очень давно нашим мама и бабушкам. Когда нет возможности обратиться к врачу или в качестве профилактики можно их использовать. В нетрадиционной медицине применяются настои, отвары, примочки на основе трав. Они купируют воспаление, уменьшают боль, десна перестают кровоточить.
Несколько самых эффективных и простых рецептов для укрепления зубов и десен:
- Полоскание со шкуркой баклажана. Овощ очистить от кожуры и высушить ее. Затем истолочь ее ступкой, в блендере или мясорубке. Залить крутым кипятком (200 мл). Оставить на полчаса. Затем всыпать в отвар 1 ч.л. поваренной соли.
- Укрепляющий настой на зверобое. На одну столовую ложку сухого зверобоя – пол литра водки или спирта. Накрыть и оставить в темном месте на семь суток. На 100 мл теплой воды 40 капель настоя. Пить утром, днем и вечером.
- Дубовый укрепляющий отвар. Смешать в равных пропорциях цветы липы и кору дуба. На одну чайную ложку – стакан кипятка. Профильтровать. Пить теплый отвар три-четыре раза в сутки – 1 ст.л.
- Средство из чеснока хорошо укрепляет корни моляров. Нужно продавить чеснок в чеснокодавке или потереть на мелкой терке. Достаточно одного зубчика. К нему добавить 1 ч.л. чайного масла. В смесь влить 200 мл крутого кипятка и оставить минут на двадцать. Процедить через марлю. Полоскать рот утром и вечером в течении двух-трех недель.
Если у ребенка шатается молочный зуб, то это нормально. Ведь постепенно растет новый постоянный зуб, который выталкивает молочный. Процесс начинается с 4-5 лет. Обычно процесс проходит безболезненно, обращаться к стоматологу нужно только если есть воспаление.
Если молочный зуб сильно шатается, а меняться ему еще рано, то требуется врачебная помощь. После диагностики врач назначает лечение. Если есть воспалительный процесс, то стоматолог чистит и пломбирует зубные каналы.
Когда воспалены десна, то назначается мягкая чистка зубов и физиотерапия. Если при подвижности коронок меняется прикус, то устанавливаются крепежные конструкции или шины.
Если ни один из методов не помогает или зуб коренной, и продолжает расшатываться, то его вырывают под местным наркозом.
Источник: https://dent-prestij.ru/stati/chto-delat-esli-shatayutsya-zuby
