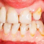
Клиновидным дефектом зубов называется некариозное поражение коронки, при которой в пришеечной области образуется повреждение. Внешне он выглядит как небольшое углубление, щербатость, при которой остальная часть коронки выпирает, словно клин. Отсюда болезнь и получила свое название. Если обнаружен клиновидный дефект зубов, причины и лечение их должны быть обозначены как можно скорее.
Заболевание «клиновидный дефект зубов» во многих странах не упоминается именно в такой формулировке, когда врачи описывают геометрическую форму коронки, отличную от здоровой. Для классификации европейские и американские медики используют термины, связанные с причиной болезни, а не с ее описанием, поэтому выделяют эрозивные, абфракционные и абразивные дефекты.
В зависимости от происхождения заболевания проводится лечение таких зубов. Зачастую простого пломбирования недостаточно, поскольку пломбы, установленные при клиновидном дефекте, выпадают, и пациенту приходится снова обращаться в стоматологию.
Дефект абфракционного типа
Клиновидный дефект по абфракционному типу – ведущая причина появления заболевания. Абфракция означает потерю кальция в месте наибольшего напряжения коронки. Формируется в результате неправильного взаимоположения зубов верхней и нижней челюсти.
При смыкании это провоцирует излишнюю, неадекватную нагрузку на коронки, в результате чего страдает пришеечная зона. Возникает так называемая нагрузка на изгиб, в ходе которой гидроксиапатит, входящий в состав эмали, выталкивает ионы кальция и происходит разрушение в определенном ее участке.
К подобным процессам приводит и парафункция языка, при которой язык создает слишком большое давление на коронки с внутренней стороны. Это происходит при анатомических аномалиях строения ротовой полости, когда есть глубокий прикус, или сужены челюсти.
Не менее значимой причиной среди абфракционных повреждений является бруксизм – типичный скрежет, появляющийся во сне. При бруксизме пациенты страдают повышенным тонусом мышц – это увеличивает давление при смыкании челюсти, а при продолжительных актах давления может привести к разрушению эмали.
При лечении повреждений с абфракционными клиновидными дефектами нужно обязательно учитывать особенность патологии. Ведь даже при пломбировании сохранится излишнее давление, и пломба все равно будет поддаваться деструктивным процессам, в связи с чем быстро выпадет. Поэтому в таком случае лечить нужно первопричину, а не сам клиновидный дефект, являющийся следствием.
Использование народных средств
- Всем известны целебные свойства чистотела. В период роста растения, рекомендуется смазывать соком пришеечные области. Можно использовать следующий рецепт:
- Заполните литровую банку измельченной травой;
- Залейте емкость водкой или 400 спиртом;
- Настаивайте две недели в темном месте.
Для процедуры настойку разводят водой в пропорции 1:4 и полоскают рот несколько минут после принятия пищи. Воспалительные процессы купируются после регулярного полоскания в течение 10 дней ежемесячно.
- Проверенный временем «бабушкин» рецепт лечения клюквой. Раздавите несколько ягод и втирайте кашицу несколько раз в день в десны.
- Отлично защищают зубы от разрушения, а десны от воспаления регулярные полоскания настоями трав ромашки аптечной, подорожника, коры дуба.
Еще один эффективный метод – лечение лазерным лучом. Подготовка зуба к пломбированию сопряжена с трудностями удаления размягченных тканей из полстей, пораженных патологическим процессом.
Не секрет, что срок службы пломбы зависит от качества обработки зубной полости, в том числе и антибактериальной. Лазер справляется с этой задачей – безукоризненно.
Лазерное оборудование позволяет проводить процедуры с максимальным эффектом, без боли, не повреждая здоровые ткани. Поэтому такое лечение считается намного эффективней традиционных манипуляций.
Лечение зубов лазером применяется и при гиперестезии. В этом случае процедура заключается в воздействии стоматологического лазера на шейку зуба. В результате манипуляции происходит уплотнение эмали и снижается чувствительность.
Эффект от процедуры наступает сразу после ее окончания, а плотность эмали увеличивается до 35%. Процедуры с применением лазера показаны пациентам, страдающим аллергиями на лекарственные препараты, женщинам, вынашивающим или кормящим ребенка.
Врачи не могут прийти к консенсусу о причинах возникновения дефекта. Но очевидно, что основным провокатором является неправильная нагрузка на зубы. Также не оспаривается роль неправильной и недостаточной гигиены полости рта.
Поэтому, если существует данная патология необходимо регулярно посещать стоматолога, употреблять необходимые витамины и микроэлементы, проводить все необходимые гигиенические процедуры.
Медикаментозное и аппаратное лечение клиновидного дефекта подбирается специалистом в зависимости от степени поражения твердых тканей. Стоимость лечения зависит от объемов работы, методов и материалов применяемых для лечения. Точный детализированный расчет возможен только после тщательного осмотра и определения лечебного плана.
Если вы нашли ошибку, пожалуйста, выделите фрагмент текста и нажмите Ctrl Enter.
Дефект абразивной природы
Такую патологию провоцирует воздействие абразивных материалов. Конечно же, негативно на эмаль влияют абразивы в пастах. Эти пасты специально производятся с абразивными материалами и имеют обозначение RDA, но показаны они далеко не всем.
Большинство потребителей покупают высокоабразивные пасты с коэффициентом более 70 с надеждой отбелить поверхность эмали, но таким образом еще больше повреждают ее.
Вторая причина, ведущая к повреждению эмали абразивными материалами, – это слишком жесткие щетки. Рекомендуемая жесткость для большинства пациентов – медиум, но при неправильном выборе щетки со слишком жесткой щетиной она начинает разрушать эмаль.
Врачи отмечают, что свои негативные последствия дает и неправильная чистка зубов – никогда нельзя с нажимом проводить горизонтальные движения по поверхности, а щетка должна двигаться легко, словно выметая скопившуюся пищу.
Эрозивный дефект
Причина появления эрозий – агрессивные химические вещества, влияющие на эмаль. Их довольно много содержится в такой пище, о которой мы и не подозреваем – это соки, фрукты, вино и другие продукты. Зачастую клиновидный дефект возникает у пациентов, страдающих проблемами с пищеварением, повышенной кислотностью, гастроэзофагеальным рефлюксом – отрыжкой.
Повлиять на проблему абразивного типа может и место работы больного: довольно часто болезнь появляется у тех пациентов, которые работают на вредном химическом производстве.
При употреблении кислой пищи врачи не рекомендуют чистить рот сразу же после еды. Необходимо подождать как минимум час, пока кислота естественным образом смоется с поверхности эмали при помощи слюны. В это время эмаль частично восстанавливается путем поглощения кальция, который она получает со слюной.
Кроме непосредственных причин, провоцирующих клиновидные дефекты, нужно отметить и такие:
- недостаток гигиены ротовой полости;
- наличие зубного камня или налета;
- заболевания десен – пародонтит или гингивит;
- болезни щитовидной железы;
- болезни центральной нервной системы.
При возникновении клиновидного дефекта не нужно исключать и одновременного влияния нескольких факторов. В большинстве случаев, конечно, отклонение появляется как следствие абфракционного воздействия, но нужно принимать во внимание и такие причины, как кислотный фактор, агрессивные пасты и т.д.
Что можно сделать в домашних условиях?
Кроме необходимого стоматологического лечения, можно попробовать и действие народных средств. Например, существует ряд способов, которые должны улучшить состояние пациентов с клиновидным дефектом:
- Покупают в аптеке спиртовую настойку прополиса, разводят несколько капель в стакане теплой воды. Используют такую воду для полоскания, после еды.
- Стараются регулярно включать в рацион ламинарию, петрушку, базилик, а также йодированную соль (при отсутствии противопоказаний).
- Измельчают до порошкообразного состояния морские перламутровые раковины. Полученный порошок при помощи щетки наносят на зубы и удерживают, сколько возможно, не споласкивая рот.
- Прикладывают к пораженным зубам листья лимона или лайма.
- Включают в рацион питания тертый хрен.
- Смазывают зубы и десны смесью меда и порошка корицы.
Кроме этого, полезно регулярно включать в состав блюд продукты с достаточным содержанием минералов. Например, кальций можно получить из молочной продукции, а фтор – из морских водорослей, бобов, куриного мяса, гречки, бананов, цитрусов, меда.
Стоматологи советуют для чистки зубов выбирать пасты с десенситивным действием:
- R.O.C.S. Medical minerals (реминерализирующая паста), имеется вариант для взрослых пациентов и детей. Средство уменьшает чувствительность тканей зуба.
- R.O.C.S. Medical sensitive поможет устранить некомфортные и болезненные ощущения.
- Doctor Best Sensitive или Elmex Sensitive являются фторсодержащими, со сниженными абразивными способностями.
Еще можно выделить целый ряд зубных паст, которые помогают при клиновидном дефекте:
- Bio Repair;
- Sensigel;
- Oral-B sensitive fluoride;
- Biodent sensitive.
Для получения эффекта любую из перечисленных паст следует использовать регулярно. С точностью определить длительность применения таких средств может только лечащий доктор стоматолог.
Ирригатор – это прибор, который облегчает уход за ротовой полостью. Он подает струю воды или лекарства, промывая зубы, пространство между зубами, что служит хорошей профилактикой кариеса, заболеваний пародонта и формирования налета. Одновременный массаж десны улучшает местное кровообращение.
Применение ирригатора особенно рекомендуется:
- при частых воспалительных процессах в ротовой полости, при кровоточивости десен;
- при ношении брекетов;
- при наличии неприятного запаха изо рта;
- при сахарном диабете.
Ирригатор может служить профилактикой клиновидного дефекта. Если же заболевание уже имеется, то при помощи этого прибора можно предупреждать дальнейшее развитие заболевания. Вопреки мнению многих, ирригатор не усугубляет проблему зубных дефектов, однако и вылечить их он не в состоянии.
Лечение заболевания в домашних условиях, прежде всего, заключается в проведении своевременных гигиенических мероприятий. Некачественная чистка нередко становится причиной клиновидного дефекта зубов.
Зубной налет и минерализованные отложения способствуют размножению патогенной микрофлоры, которая в процессе жизнедеятельности выделяет агрессивные кислоты, что приводит к потере кальция и способствует разрушению твердых тканей, воспалительным заболеваниям пародонта – пародонтиту и гингивиту.
Поэтому на начальной стадии развития заболевания необходимо:
- Чистить зубы щеткой с мягкой щетиной. Движения щетки должны быть выметающими, вверх – вниз, а ни в коем случае не в горизонтальной плоскости.
- Для избежания кариеса рекомендуется проводить очистку флосами.
- Чистить или ополаскивать ротовую полость после употребления в пищу фруктов и вина. Кислоты агрессивно воздействуют на верхние слои эмали.
- К применению показаны специальные зубные пасты – обогащенные кальцием и фтором. Ежедневное использование лечебных паст защищает от болевых ощущений.
- Для насыщения зубов минералами нужно пользоваться капами и специальными средствами, которые может порекомендовать ваш лечащий врач.
- Очень важно своевременно лечить заболевания ротовой полости и желудочно-кишечного тракта.
- Лечение в домашних условиях предусматривает употребление витаминно-минеральных комплексов с целью укрепления структуры зубов и снятия гиперестезии эмали зубов (повышенной чувствительности). Это может быть глюконат или глицерофосфат кальция в сочетании с витаминами С и В.
ПОДРОБНОСТИ: Ношу брекеты а результата нет
Симптомы заболевания
При появлении недуга пациенты жалуются на следующие симптомы:
- чрезмерную чувствительность, которой ранее не наблюдалось;
- боль после чистки или через некоторое время после нее;
- появление визуального отклонения, которое локализуется в пришеечной области;
- на раннем этапе можно заметить небольшую щель, а уже поздняя стадия характеризуется специфическим наростом, подпирающим десну.
Симптоматика заболевания во многом зависит от стадии его развития. Врачи выделяют клиновидные дефекты по четырем стадиям, в основу которых положен размер щели. На раннем этапе развития он может составлять 0,1 мм, а уже при более позднем прогрессировании щель может достигать пяти миллиметров и более.
Как установило наблюдение дантистов за пациентами с такой болезнью, чаще всего она поражает не один зуб, а влияет сразу на несколько соседних.
Стадии развития патологии
Развитие заболевания проходит несколько стадий.
Первая стадия
Проявляется незначительным повреждением эмали. Его нельзя увидеть невооруженным глазом, а доктор определяет болезнь только с помощью увеличительных приборов.
Вторая стадия
На второй, средней стадии стоматологи обнаруживают повышенную чувствительность (гиперестезию) – борозды в этом случае составляют 0,2-0,3 мм. При внимательном осмотре поврежденная поверхность эмали уже заметна.
Третья стадия
В третьей стадии развития глубина поврежденного участка составляет около 0,5 мм. На этом этапе пациенты ощущают неприятное чувство холода, пронизывающего до дрожи, или реакции на горячее при употреблении пищи.
Четвертая стадия
При четвертой, тяжелой стадии, впадина образуется более глубокая и составляет в большинстве случаев от трех до пяти миллиметров, а иногда и больше. Болезненные ощущения усиливаются в несколько раз, нарушается жевательная функция, присутствует постоянный дискомфорт.
При повреждениях последней степени наступают существенные изменения – затрагивается пульповая камера, а при последующем воздействии деструктивного фактора происходит ее полное разрушение. Как только пульповая камера исчезает, коронка ломается даже от незначительного воздействия на нее.
Обычно организм предупреждает такие повреждения отложениями заместительного дентина, который не дает разрушаться пульповой камере слишком быстро.
Диагностика
Определить заболевание можно при обычном стоматологическом осмотре. Диагноз «клиновидный дефект» ставится в нескольких случаях:
- Если болезнь эмали ярко выражена, т.е. доктор видит в пришеечной зоне явный выступ или сформировавшийся клин. Как правило, это уже две последние стадии патологии, когда они заметны визуально.
- В том случае, если шейка внешне нормальная, но не покрыта десной из-за пародонтита или гингивита. На этом этапе клин имеет небольшой размер, и заболевание диагностируется на ранней стадии.
Дополнительно принимаются во внимание и ощущения пациента, когда у него появляется чувствительность на горячую или холодную пищу. Именно клиновидный дефект зубов характеризуется этим признаком, а вот при кариесе его не возникает.
Лечение заболевания
Лучше начинать лечение клиновидного дефекта с самой ранней стадии. На позднем этапе развития патологии врачи могут предложить лишь протезирование, ведь возможность проведения консервативного лечения будет упущена.
Чтобы устранить клиновидный дефект, необходимо осуществлять комплексное лечение. На первом этапе врачи обучают пациента правильной чистке и акцентируют внимание на том, что нарушение правил гигиены может стать одной из причин заболевания. В это же время дантист подбирает пациенту правильную щетку, которая не разрушает эмаль.
Дополнительно назначается реминерализирующая терапия, при помощи которой восстанавливается уровень кальция в эмали. Лечение клиновидного дефектазубов на этой стадии может обойтись без установки пломб и коронок.
При обнаружении болезни на средней стадии, обойтись реминерализацией не удастся – в этом случае поверхность необходимо защитить от негативного воздействия среды. Для этого ее покрывают специальными тонкими накладками – винирами или люминирами, ставят коронки. Основная цель лечения – приглушение чувствительности и предотвращение дальнейшего развития патологии.
Чтобы избавиться от болезненности, можно использовать специальные покрытия – гели или лаки, защищающие эмаль и закрывающие трещины. Однако, это лишь устранение симптома, а не причины. Клиновидный дефект не устранить, если причина патологии будет и дальше воздействовать на зуб.
В ряде случаев врачи справедливо прибегают к пломбированию пораженного зуба, однако, это лечение не всегда эффективное – очень часто пломбы выпадают, ведь они хуже всего приживаются именно в пришеечной зоне. Поэтому рекомендовано либо вовсе отказаться от установки пломбы, либо комбинировать этот метод лечения с другими способами лечения.
На сегодняшний день пациенты все больше предпочитают ставить виниры. Во многих ситуациях они решают проблему не только с лечебной точки зрения, но и с эстетической: внешне виниры создают безупречный вид зубов – белых и ровных.
Стоматологи обращают внимание, что зачастую причиной заболевания становится целый комплекс причин, в том числе недостаточная гигиена полости рта. Поэтому стоматологи обращают особое внимание на правила ухода за зубами, помогают подобрать щетку и учат правильно очищать поверхность эмали от налета и остатков пищи. При лечении доктор скорректирует и выбор зубной пасты, если она не подходит пациенту.
При таком заболевании необходимо регулярно посещать дантиста, чтобы вовремя предотвращать прогрессирование болезни и лечить его первые проявления. Зачастую клиновидный дефект сочетается с такими недугами, как гингивит и пародонтит, поэтому рекомендовано тщательно следить за возникновением подобных осложнений и вовремя устранять их причины.
Методы лечения клиновидного дефекта зубов на начальной стадии
В зависимости от стадии развития клиновидного дефекта используют разные методы лечения.
На начальной и поверхностной стадии:
- Реминерализирующую терапию лекарственными препаратами, содержащими кальций: растворами, гелями, мазями, лаками. Метод позволяет восстановить целостность поверхности эмали, укрепить ее, предотвратить дальнейшее развитие дефекта и его появление на соседних зубах.
- Фторирование эмали путем нанесения на поверхность зубов препаратов, содержащих фтор. Данный метод позволяет снизить повышенную чувствительность зубов к воздействию кислот и механических повреждений. В домашних условиях рекомендуется использование лечебных десенситивных и фторосодержащих зубных паст.
В условиях стоматологических клиник предлагают эффективную процедуру обработки эмали препаратом, содержащим два компонента: высокоактивный фтор и гидроокись кальция. Компоненты наносятся на поверхность зубов по очереди, насыщая эмаль кальцием и снижая ее повышенную чувствительность.
Лечением клиновидного дефекта зубов могут заниматься стоматологи различных профилей: терапевты, ортодонты, ортопеды.
Независимо от стадии заболевания, в первую очередь, осуществляется устранение возможных причин возникновения этих проблем с зубами. Из рациона больного исключаются газированные напитки, пересматривается набор применяемых средств ухода за ротовой полостью, при необходимости производится коррекция прикуса (включая установку брекет-систем, пришлифовывание и др.).
На начальном этапе развития клиновидного дефекта зубов лечение целесообразно проводить как комплексную реминерализирующую терапию, нацеленную на устранение повышенной чувствительности. Рекомендуются аппликации растворов глюконата кальция и фторида натрия, глубокое фторирование эмали, прием витаминных комплексов..
При незначительных деформациях поверхности пломбирование в большинстве случаев не требуется. Диагностированные повреждения зачищаются и цементируются специальными стоматологическими составами, препятствующими дальнейшему разрушению и устраняющими гиперестезию.
В большинстве случаев виновником патологии является неправильный прикус – нарушение окклюзии. Поэтому врач может предложить ортодонтическое лечение, направленное на оптимизацию дефектов прикуса.
ПОДРОБНОСТИ: Нужно ли подрезать уздечку из за брекетов
Лечение занимает немало времени (от нескольких месяцев, до двух лет), но правильная окклюзия способна не только предупредить развитие болезни, но и купировать уже начавшийся процесс.
Лечение предусматривает ношение брекет-систем, необходимые гигиенические процедуры, установку коронок на определенные зубы, а также выборочное шлифование зубов.
Ортодонтические мероприятия занимают длительное время, но результаты всегда отличные! Процедура поможет избежать сколов и трещин, травм пародонта, минимизирует вероятность возникновения клиновидного дефекта.
После исправления прикуса можно поставить пломбу, винир или коронку при условии, что патология находится в начальной стадии. Стоимость зависит от тяжести случая, используемого оборудования, и выбранной системы брекетов. Выбор корректирующей системы зависит только от желания пациента, его эстетических требований и финансовых возможностей.
Перед началом лечения пациент получает максимальную информацию о состоянии ротовой полости, после чего специалист составляет план лечения со всеми возможными нюансами и предполагаемыми издержками.
Как исправить клиновидный дефект – видео
Клиновидный дефект зубов является серьезной патологией, не связанной с кариозным поражением. При таком заболевании, как и при кариесе, пациенты могут потерять зуб, если не обратятся в клинику вовремя и не установят причины дефекта.
На ранней стадии симптомы болезни скрыты, очевидными они становятся уже тогда, когда дефект достигает ощутимых размеров. К сожалению, консервативное лечение на этой стадии уже мало эффективно, и приходится прибегать к протезированию. Чтобы этого не случилось, важны регулярные профилактические осмотры у квалифицированного врача и своевременное лечение патологии.
Профилактические меры
Чтобы избежать появления клиновидного дефекта, следует придерживаться следующих профилактических мер.
- Посещение стоматолога не реже 1 раза в год.
- Использование зубных щёток только со средней степенью жёсткости. При чистке зубов не следует водить щёткой вдоль зубного ряда по внешней стороне. Двигаться следует вверх-вниз.
- Применение паст с отбеливающим эффектом только по мере необходимости.
- Своевременное устранение заболеваний зубов и ротовой полости, а также патологического прикуса.
- Снижение потребления сладкой и кислой пищи.
- Тщательный и правильный уход за ротовой полостью.
Клиновидный дефект является одной из самых распространённых стоматологических патологий. На начальных стадиях болезнь не представляет опасности для здоровья. Однако если её не лечить, существует вероятность прогрессирования, что приведёт к утрате поражённых зубов.
Видео с YouTube по теме статьи:
