Что такое ретенционный период ортодонтического лечения
Ретенционный период – это время, в течение которого происходит закрепление полученного результата после исправления прикуса брекетами. Данный этап характеризуется перестроением тканей, то есть происходит резорбция и образование кости.
Главная задача ортодонтического процесса заключается в том, чтобы удержать зубы после снятия брекетов в положении, которого они достигли.
Период ретенции занимает длительное время, в течение которого организм приспосабливается к измененному расположению зубочелюстной системы.
Зачастую пациенты не понимают всей важности ретенции и не относятся к этому процессу должным образом. Именно по этой причине многие, достигнув определенных положительных результатов, просто снимают ортодонтические приспособления, что нередко приводит к возникновению рецидивов.
Ретенционный период
Ретенционный период
— это завершающий этап ортодонтического лечения, на котором происходит закрепление результатов, достигнутых в процессе терапии. С помощью специальных аппаратов, ретейнеров разных видов, происходит удержание зубов в анатомически правильном положении. Продолжительность этапа — около двух лет. Этого времени хватает, чтобы в будущем избежать рецидива — повторного искривления прикуса.
Ретенционная часть лечения является обязательной
, так как после коррекции, зубы на протяжении еще долгого времени остаются подвижными. Ношение ретейнеров помогает не только окончательно устранить функциональные и морфологические нарушения челюстно-лицевого отдела, но также нормализовать жевательную функцию, «научить» язык находиться в правильном положении, убрать мимические морщины.
Ретенционное лечение может проводиться с помощью съёмных
, а также несъемных установок . Вид установки подбирает доктор, в зависимости от исходной проблемы. Это могут быть вестибулярные дуги, пластинки с кламмерами и наклонными плоскостями, а также пластинки с дугой для верхней или нижней челюсти.
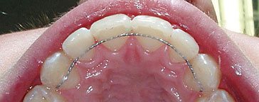
Несъемный ретейнер
Съемный ретейнер
Вестибулярные дуги
— это конструкции, состоящие из базиса и удерживающих элементов. Они устанавливаются на передние и боковые зубы, обеспечивая их надежное удержание в анатомически правильном положении.
Если была проведена коррекция дистального прикуса
, для закрепления результатов, на верхней челюсти ортодонты используют пластинки с дугой, кламмерами и наклонной плоскостью, для нижней челюсти — пластинки с удерживающими приспособлениями и вестибулярной дугой.
Коррекция мезиального прикуса закрепляется с помощью верхнечелюстной пластинки с назубной дугой, удерживающейся на передних зубах.
Отсутствие ретейнера – недопустимо! Многие пациенты ошибочно предполагают, что можно обойтись без ретейнеров, особенно, если коррекция заняла много времени и результат полностью соответствует ожиданиям. На самом деле, исключать этап лечения ретейнерами нельзя — прикус может вернуться в патологическое положение.
Закрепление результатов лечения открытого прикуса
проводится с помощью конструктивных элементов, которые изолируют язык от зубов и предотвращают его давление. Установки представляют собой съёмные аппараты из пластика или из изогнутой в нужном направлении проволоки. Проволочные модели более предпочтительны, так как почти не уменьшают физиологический объем полости рта и их легко корректировать.
Для стабилизации результатов лечения при развороте зубов по оси
, используются несъемные конструкции, фиксируемые на задней поверхности зубов.
Ретенционный этап лечения начинается сразу после снятия основного ортодонтического аппарата. Считается, что пациент уже через сутки должен надеть удерживающее приспособление, чтобы избежать рецидива.
Так же, как брекеты и пластинки, съемные ретенционные аппараты нуждаются в особом уходе. Доктор расскажет, какие приспособления и препарату нужно использовать для ежедневного очищения.
Ретейнеры, так как и другие ортодонтические аппараты, нуждаются в контроле специалиста. На каждом плановом приеме врач-ортодонт проверяет фиксацию. Если элемент отклеился, подъехать в клинику нужно как можно скорее. Вообще же, во время контрольного периода, посещать доктора рекомендуют два-три раза в год.
Если после коррекции прикуса у пациента наблюдаются заболевания пародонта — стандартные аппараты могут не подойти. В этом случае используется литой шинирующий ретейнер. Он устанавливается непосредственно на коронках и закрывает половину их высоты.
Виды ретенционных конструкций
В стоматологической практике для закрепления полученных результатов используют различные виды ортодонтических аппаратов. Подбирает конструкцию исключительно врач-ортодонт, основываясь на такие показатели, как:
- возрастная категория, к которой относится пациент;
- степень сложности аномалии;
- план терапевтических мероприятий.
По теме
- Исправление прикуса
Все о трейнерах для прикуса
- Мария Константиновна Тевс
- 4 октября 2020 г.
Только при правильном выборе изделия можно добиться максимально положительного конечного результата.
Ретенционные аппараты могут быть съемными и несъемными. Нередко на практике используются также комбинированные приспособления.
Ретейнеры
Для обеспечения стабилизации положения зубного ряда используют в качестве основы несъемные ретейнеры. Они представлены в виде металлической дуги или проволоки, фиксация которой осуществляется с внутренней стороны зубного ряда.
Для изготовления такого изделия используется жесткий и в то же время пластичный материал, что позволяет не только надежно удерживать зубы, но и придать ему нужную форму для более плотного прилегания.
В настоящее время оптимальным решением является крепление ретейнеров только на передние зубы (шесть единиц). Есть также и более простой вариант, когда фиксацию производят только на резцы. Однако нужно учитывать такой момент, что в данном случае может произойти смещение клыков в изначальное положение.
В некоторых случаях к ретейнеру могут быть подключены премоляры, особенно это распространено при отсутствии четырех зубов. Делается это с целью предотвращения раскрытия промежутка в том месте, где была удалена зубная единица. Но такой вариант не считается универсальным, поскольку в том случае правильное крепление ретейнера вызывает определенные трудности ввиду их особенной формы.
Капы
Чтобы сохранить положение зубного ряда всей челюсти после лечения при помощи брекет-систем, используют ретенционные капы. Их изготовление осуществляется при помощи метода вакуумной формовки. При этом применяется только прозрачный поликарбонатный пластик.
Чтобы создать такую конструкцию, после того, как будут сняты брекеты и установлены ретейнеры, ортодонт делает слепок челюсти пациента. Далее отливают модель из гипса, а уже по ней обжимают капу.
В большинстве случаев изделие изготавливают только для верхней челюсти. Необходимость в том возникает по той причине, что зубы нижней челюсти должны находиться в свободном положении – в течение нескольких лет происходит незначительное изменение их позиции, в процессе чего происходит формирование оптимального примыкания зубных единиц.
Пластинки
Основная задача ретенционных пластин та же, что и у кап. Однако, существуют некоторые отличительные черты:
- Способствует наиболее эффективному удержанию зубного ряда, что идеально в случае расширения узкой верхней челюсти.
- Не ограничивает микродвижение, что способствует повышению адаптационных возможностей человеческого организма. Здесь имеется в виду создание оптимального смыкания единиц зубочелюстного аппарата.
- Отличается высокой конструктивной надежностью. Кроме этого не противопоказана людям, у которых диагностировано неправильное функционирование жевательной мышцы (например, бруксизм).
- Имеет более высокую стоимость по сравнению с капами, поскольку процесс изготовления пластин значительно сложнее.
Как капы, так и пластинки характеризуются с точки зрения высокой эффективности на время ретенционного периода. Что именно будет установлено в том или ином случае, решает ортодонт, при этом учитывая личные предпочтения пациента и клиническую картину в целом.
Ретенционные аппараты
После того, как ортодонт снимает брекет-систему, переместившую зубы в желаемое положение, ортодонтическое лечение не заканчивается. Зубы, только что принявшие правильное положение, стремятся вернуться в прежнее – более комфортное и привычное для них.
Закрепить эффект коррекции прикуса позволят специальные ортодонтические конструкции – ретейнеры, или ретенционные (удерживающие) аппараты. Они используются также на финальной стадии коррекции прикуса съемными конструкциями.
Различают ретенционные аппараты двух видов – съемные и несъемные.
· Съемные ретейнеры. Представляют собой пластинчатый аппарат, дополненный кламмерами и дугой, или прозрачную каппу, которые надеваются на зубные ряды. Они могут изготавливаться по слепкам индивидуально или иметь стандартную конфигурацию. Съемные ретенционные аппараты могут быть двучелюстными и одночелюстными.
· Несъемные ретейнеры – представляют собой несколько спаянных между собой элементов, закрепленных на внутренней поверхности зубов, подобно лингвальным брекетам.
Достоинства съемных ретенционных аппаратов:
· простота в уходе за конструкцией;
· легкое соблюдение ежедневной гигиены полости рта;
· возможность иногда отдохнуть от длительного ношения конструкции во рту.
Недостатки съемных ретейнеров:
· неэстетичный вид;
· возможное раздражение десен пластмассовым базисом;
· нарушение речи, которое иногда появляется при ношении съемных конструкций;
· эффект воздействия зависит от ответственности пациента, который может нарушать режим ношения.
Достоинства несъемных ретейнеров:
· постоянное воздействие на зубы;
· быстрое привыкание и отсутствие дискомфорта при ношении;
· конструкция не портит внешность пациента, так как незаметна.
Недостатки несъемных ретейнеров:
· необходим постоянный врачебный контроль;
· затруднения с гигиеническими процедурами.
Длительность периода ношения ретейнеров зависит от того, насколько быстро у пациента наступит момент полной морфологической и функциональной перестройки. У детей и подростков ретенционный период обычно в два раза превышает время ношения основных конструкций для коррекции прикуса. Взрослым иногда требуется постоянное применение ретейнеров.
Выбор тактики и вида ретенционного воздействия, режима ношения используемых конструкций определяется только врачом-ортодонтом с учетом индивидуальных особенностей строения зубочелюстной системы пациента и проведенного предшествующего лечения.
Длительность периода
В большинстве случаев первостепенная роль при установлении сроков периода ретенции отводится такому показателю, как изначальная степень искривления зубного ряда. Прикусы открытой, глубокой, перекрестной или дистальной формы необходимо не только лечить на протяжении длительного времени, но также долго фиксировать результат в дальнейшем. Кроме этого, не меньшую значимость имеет и возрастная категория, к которой относится пациент.
Нередко в ортодонтической практике встречаются ситуации, когда не удается достичь стабильного результата. При наличии такой проблемы человек вынужден носить ретейнеры на протяжении всей своей жизни.
Ретенционные кисты яичников
Симптомами ретенционных кист яичников являются:
- Нарушения менструального цикла. При развитии болезни у подростков отмечается позднее наступление первой менструации. В дальнейшем менструации становятся нерегулярными, появляются олигоменорея (снижение продолжительности менструаций) и гипоменорея (уменьшение выделений во время менструации). Иногда возникает аменорея (полное прекращение менструаций);
- Ановуляторное бесплодие. При данной разновидности бесплодия беременность возможна, но она имеет свойство прерываться на разных стадиях развития;
- Акне (угревая сыпь) в подростковом периоде;
- Выпадение волос или облысение;
- Гирсутизм, характеризирующийся усиленным ростом волос на конечностях, лице и области вокруг сосков;
- Ожирение.
Ретенционные кисты яичников являются неразорвавшимися фолликулами с накапливающейся внутри жидкостью, которые начинают формироваться после овуляции. Разрываются ретенционные кисты яичников из-за снижения в крови количества эстрогенов, что обычно происходит в очередную менструацию. Их разрыв и, соответственно, излитие содержимого в брюшную полость приводит к раздражениям тканей и болезненным ощущениям.
Для чего нужны ретейнеры?
Ретейнеры – разнообразные по форме ортодонтические аппараты, обеспечивающие ретенционный период. Есть несколько разновидностей конструкций – съемные, несъемные, двучелюстные и одночелюстные. Ретейнеры нужны, чтобы удержать зубы в правильном положении после того, как сняты брекеты. Период длительный, за это время организм приспосабливается к новому положению прикуса.
Только когда будет достигнута полная морфологическая и функциональная перестройка, можно говорить, что лечебный эффект достигнут, рецидивов (возвращения зубов в неправильное положение) не будет. Необходимость ретенционного периода связана с тем, что регенерация инфинитивной ткани костей протекает длительнее, чем происходящее в это же время функциональные и морфологические перестройки. Поэтому результат, достигнутый ношением брекетов , еще не окончание лечения, организм не готов принять новое положение зубных единиц и будет стремиться придать им изначально положение.
Задача ретенционных конструкций – удерживать челюсть, зуб в правильном положении, не слишком ограничивать функции, быть эстетически привлекательными или незаметными, не оказывать чрезмерного физического воздействия на челюстную систему.
На практике пациенты игнорируют период ретенции, не понимая значения данного этапа. Поэтому считают ношение ретенционных аппаратов обременительным, самостоятельно снимают их, что приводит к рецидиву. Результатом такого отношения становится ухудшение положения зубов, ротация, раскрытие промежутков, нарушение достигнутой эстетики. Нарушается контакт челюстей, что грозит рецессией десны, стираемостью коронок, болезнями височно-нижнечелюстного сустава.
Выбор аппарата для ретенционного периода зависит от изначальной проблемы, возраста пациента, схемы лечения.

