Чем отличается покрывной от съемного протеза
На сегодняшний день покрывные конструкции достаточно популярны. У многих возникает вопрос: что же лучше: съемный или покрывной протез?
По сравнению с полным съемным, покрывная конструкция сводит к минимуму вредные для оставшихся опорных зубов горизонтальные нагрузки и существенно продлевает срок их жизни. Кроме того, этот способ позволяет приостановить возникновение процессов атрофии в челюстно-лицевом отделе и понижает давление на слизистую оболочку.
Такие системы имеют массу различных приспособлений: эластичные фиксаторы, аттачмены, магнитные и другие конструкции, благодаря которым протезы надежно фиксируются и не смещаются ни при жевании, ни в состоянии покоя.
Основные составляющие покрывного протеза для зубов — телескопическая система и конструкции коренных аттачменов. Аттачмен состоит из 2-х частей — патрицы (внутренней части) и матрицы (внешней). Самая сложная его часть обычно фиксируется в съемный протез, что позволяет выполнять его замену без корректировки всей системы. Корневые аттачмены существенно увеличивают функциональность конструкции, а также предотвращают атрофические процессы в альвеолярных отростках. Самыми качественными считаются протезы, которые имеют не менее 3-х замков. Но при ограниченных финансовых возможностях, успешно используются и 2 замка.
В зависимости от медицинских назначений и ожидаемого эффекта применяют также магнитные фиксаторы.
Используются кламмеры — металлические крючки, скрепляющие зуб в области шейки, но при носке крючки довольно заметны.
В некоторых случаях для прочности протезы могут быть армированы металлической сеткой или бюгельным каркасом.
Типы покрывных протезов
Разнообразие покрывных изделий
Покрывные коронки, как и любые другие, имеют несколько разновидностей.
Это могут быть непосредственные покрывные протезы.
Обычно они необходимы при неблагоприятном состоянии опорных зубов, например, когда корни просто будут выступать в качестве опоры для протеза.
Второй тип – переходные коронки. Они устанавливаются в том случае, если элементы фиксации находятся в корневых зубах.
Постоянные покрывные изделия фиксируются при помощи коронок, балок и различных элементов корневого колпачка.
Каждый пациент сам вправе выбирать, какие импланты ему больше по душе.
Безусловно, его выбор не всегда зависит от состояния зубов, но и от личного достатка.
Не всем по карману сразу же провести все необходимые процедуры, особенно если состояние зубов слишком запущено.
Также немаловажным фактором является и конструкция коронки.
Если у пациента не осталось вообще никаких зубов, то стоматолог изготавливает конструкции несъёмного характера, которые не просто будут гармонично смотреться, но и отвечать за восстановление зубных рядов.
Таким образом, качество результата зависит от квалификации врача и собственных финансовых возможностей.
В данном видео, вы услышите отзывы о покрывных протезах. а так же врач – стоматолог, расскажет, в чём плюсы данных стоматологических конструкций.
Полные покрывные протезы (плюсы и минусы)
Полные покрывные протезы не лишены как достоинств, так и недостатков.
Преимущества такого вида конструкций состоят в том, что они имеют способность к самостоятельному фиксированию, потому очень надёжны.
Процессы, которые влекут за собой разрушение альвеолярного гребня, также будут частично остановлены с помощью полного покрывного протеза.
Третьим преимуществом является и отменное распределение по ряду зубов, которое немаловажно для комфорта клиента.
Как упоминалось ранее, давление на слизистую оболочку будет существенно снижено.
Ещё одним плюсом является тот факт, что пациенты достаточно быстро адаптируются к полным покрывным протезам, так как они не вызывают абсолютно никакого дискомфорта.
Достоинства и недостатки покрывных протезов
Врачи отмечают, что удобство этих изделий можно использовать с пользой: они могут быть подготовительным этапом для клиента, перед процессом полного протезирования зубов.
Ну и последние преимущества – это эстетичные свойства и комфорт.
Конструктивных недостатков у этой разновидности намного меньше. Однако присутствуют минусы иного плана.
Первый – это цена.
Полные съёмные коронки обойдутся вам гораздо дороже, но если ознакомиться со списком преимуществ покрывного протезирования, то решение, вероятно, будет принято в его пользу.
Ещё один недостаток – это постоянные чистки, которые проводятся в качестве профилактических мер.
Такая чистка потребует скрупулезности и неких усилий, что для некоторых клиентов может быть существенным минусом.
Частичные покрывные протезы (плюсы и минусы)
Частичные покрывные конструкции не такие популярные, как полные.
Их существенным плюсом, который является зачастую решающим для многих сомневающихся пациентов, является низкая цена.
Однако частичный протез можно установить только при наличии хотя бы одного здорового и целого зуба.
Если таковой отсутствует, то изделие не может быть установлено.
Такой огромный минус зачастую и является решающим для пациентов, у которых не осталось целых зубов.
В таком случае, полные покрывные протезы выигрывают.
Показания к установке
- Наличие в полости рта одиночных корней. В данном случае корни зуба несут всю функциональную нагрузку.
- Адентия (полное отсутствие зубов) — в этом случае конструкция устанавливается на импланты.
- Полная адентия нижней челюсти, так как именно на нее плохо присасываются полные съемные протезы.
Чаще всего покрывные протезы применяют в случаях:
- полного отсутствия зубов или недостаточного их количества;
- перелома коронки зуба;
- сильного стирания твердых тканей;
- когда коронковую часть зуба необходимо ампутировать.
- заболевания сердечно-сосудистой системы;
- нарушения свертываемости крови (коагуляция);
- сахарный диабет;
- патологии нервной системы.
Показания и противопоказания
Покрывной протез зарекомендовал себя только с положительной стороны. Во многих ситуациях это единственный метод восстановления утраченных зубов, жевательной функции и эстетичного внешнего вида.
Такое изделие не доставляет дискомфорта во время ношения, долговечно и простое в эксплуатации.
Однако, выделяют некоторые нюансы, когда применять его не рекомендуется и может быть опасно для здоровья.
5 материалов, используемых в стоматологии для зубных протезов
Ношение данного протеза показано в следующих случаях:
- при адентии – необходима покрывная система, установленная на импланты;
- твердые ткани сильно стерты;
- имеются одиночные корни;
- альвеолярные отростки атрофированы;
- природные зубы слишком слабые;
- диагностирован перелом коронки;
- при сильной атрофии костей нет возможности установить полную съемную конструкцию;
- когда другие виды протезирования противопоказаны;
- отмечается сильная сухость слизистой ротовой полости.
Среди противопоказаний выделяют:
- заболевания сердца и сосудов;
- сахарный диабет;
- период беременности;
- онкозаболевания;
- патологии нервной системы;
- нарушения щитовидной железы;
- наличие острых болезней инфекционного характера;
- заболевания крови.
Прежде чем принимать решение о выборе метода протезирования, необходимо проконсультироваться с несколькими специалистами, если нет уверенности в том, что противопоказания к процедуре отсутствуют.
Этапы
Перед проведением покрывного протезирования необходима специальная подготовка мягких тканей ротовой полости — проводится удаление периодонтальных карманов или частей слизистой оболочки.
Этапы установки покрывного протеза:
- После предварительного обследования и санации полости рта, альгинатной массой снимают оттиски с нижней и верхней челюстей.
- Из прочного гипса делают диагностические модели, на которых находят центральную окклюзию и соотношение челюстей.
- Дантист совместно с зубным техником проводят анализ диагностических моделей и выбирают конструкцию покрывного протеза. При необходимости выполняется параллелометрия альвеолярного гребня и зубов.
- Изготавливается временный непокрывной зубной протез для использования во время изготовления постоянного.
- В стоматологическом кабинете проводится процедура препарирования опорных зубов.
- Используя силиконовый материал, снимают оттиск челюстей и препарированных опорных зубов.
- Зубной техник по полученному оттиску создает разборную рабочую модель.
- Изготовленную восковую композицию отливают, а затем припасовывают на модели.
- В клинике первичные зубные коронки припасовывают на опорных зубах.
- Зубной техник создает новую модель, в которой четко прослеживаются грани будущего покрывного протеза. Первичные коронки фрезеруются твердосплавными фрезами и полируются тонкодисперсной алмазной пастой.
- Новую рабочую модель готовят к дублированию. Из специальной массы создают огнеупорную модель, на которой формируют восковой каркас протеза, а затем отливают.
- Отлитый каркас прикрепляют на первичные коронки, мелкодисперсной алмазной пастой полируют изнутри наружные телескопические коронки и всю систему подготавливают к электроискровой эрозии.
- На специальном оборудовании выполняется электроискровая эрозия.
- Рабочую модель помещают в аппарат для проведения искровой эрозии. После чего зубной техник в образовавшиеся пазы припасовывает выбранные фрикционные штифты и выполняет их фиксацию контактной сваркой.
- В клинике выполняется припасовка вторичных коронок и каркаса съемного протеза.
- В лаборатории вторичные телескопические коронки облицовываются, восковой базис заменяется пластмассовым.
- После установки протеза выполняют коррекцию окклюзии и поочередно фиксируют на цемент первичные коронки.
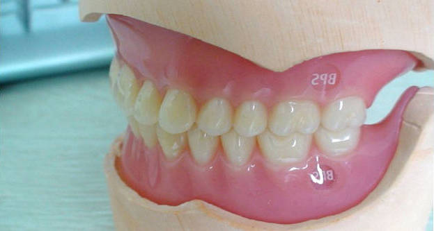
Технология BPS
Система BPS оптимизирует процесс создания покрывных протезов, делая их более надежными и прочными. Особенности системы:
- ультрасовременный материал уменьшает стираемость протезов с опорой на импланты;
- широкий выбор форм;
- сочетание слоев;
- цветостойкость;
- цветовая гамма соответствует несъемным протезам;
- беспрепятственные движения при жевании;
- стойкость к возникновению налета;
- хорошее фиссурно-бугорковое соотношение.

Зубные протезы BPS — это ультрасовременный продукт, появившийся в результате сочетания высококачественного материала и тесного сотрудничества зубных техников и стоматологов.
Плюсы и минусы
Преимущества:
- благодаря перераспределению давления на опорные зубы такие конструкции характеризуются повышенной функциональной активностью;
- применяются при атрофии альвеолярных гребней;
- снижают степень давления на слизистую;
- нет необходимости проводить дополнительное наращивание костных тканей;
- покрывной протез, установленный на верхнюю челюсть, уменьшают пределы базиса конструкции;
- имеют менее продолжительный период адаптации;
- являются идеальным вариантом для людей, страдающих повышенным рвотным рефлексом;
- могут использоваться на переходном этапе перед установкой полного съемного протеза;
- отличаются комфортностью носки, надежностью самофиксации, биологической инертностью и эстетичностью.
Недостатки:
- высокая стоимость, которая рассчитывается индивидуально в каждом конкретном случае;
- в случае, если их установка производится на природные зубы, то со стороны пациента потребуется тщательный уход за покрывными протезами и больше усилий для поддержания их функционального состояния.
Преимущества и недостатки технологии
Достоинства:
- нагрузка равномерно распределяется между имплантами, а также на кость, которая находится между металлическими корнями;
- легкий уход за конструкцией, возможность замены протезана другой вид;
- благодаря надежной фиксации системы отсутствует дискомфорт при жевании.
Минусы:
- для установки металлических корней требуется достаточное количество костной ткани;
- высокая стоимость услуг, которая во многом зависит от количества имплантов;
- в зонах, где они не установлены, наблюдается атрофия костной ткани.
Съемный протез на балке
способен предотвратить проблемы с дикцией, а также кишечно-желудочным трактом, возникающие в случае отсутствия зубного ряда. Перед протезированием необходимо обязательно проконсультироваться со стоматологом, который определит оптимальную методику лечения. Ответы на все интересующие вопросы по протезированию зубов можно найти на информационном портале СтомИнфо.
Калькулятор: рассчитать цены онлайн
Расчет стоимости съемных протезов
1
Выберите число зубных протезов: 1 или 2
+ Стоимость слепков 1200 руб.
Лучше и точнее — на бесплатной консультации! Все адреса и телефоны на сайте chudostom.ru. Запишитесь по телефону в ближайшее к Вам отделение.
Расчет не является публичной офертой, окончательную стоимость определяется на бесплатной консультации ДО начала и не меняется в процессе лечения.
Итоговая стоимостьруб.
Уход
- Как и любой другой съемный протез, покрывной приблизительно 1 раз в год нуждается в перебазировке. Для ее проведения нужно обратиться к врачу-ортопеду.
- Обычно 1 раз в год необходимо заменять подвергающуюся износу матрицу замка.
Перебазировка — это наваривание на внутреннюю часть протеза дополнительного слоя того самого материала, из которого он сделан. После проведения перебазировки протез снова будет точно прилегать к рельефу десны, сравняются по высоте зубы (собственные и искусственные).