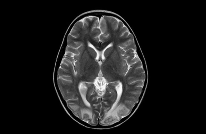
МРТ при асимметрии боковых желудочков
Желудочки мозга предназначены для регуляции давления спинномозговой жидкости (ликвора) внутри головного мозга. Цистерны имеют определенное пространство, которое способно увеличиваться в размерах.
Самые крупные – боковые желудочки. Через межжелудочковые отверстия полости соединяются с третьим желудочком. Посредством анатомических связей обеспечивается перетекание ликвора при смене внутримозгового давления.
Четвертый желудочек находится между продолговатым мозгом и мозжечком. Данное анатомическое образование имеет ромбовидную форму.
У здорового человека обеспечивается постоянная взаимосвязь между описанными структурами. Блокада одной из желудочков приводит к увеличению количества ликвора с последующим повышением давления. МРТ обнаруживает асимметрию желудочков в ранней стадии до возникновения клинических симптомов. Без признаков сложно определить показания к направлению на магнитно-резонансную терапию. На МРТ головного мозга четко прослеживается ассиметрия желудочков.
МРТ асимметрии боковых желудочков
Показатели нормальных размеров
В организме людей желудочковая система – это сразу несколько анастомизирующих между собой полостей. Они сообщаются с субарахноидальным пространством, а также каналом спинного мозга.Непосредственно внутри полостей перемещается особая жидкость – ликвор. С ее помощью ткани получают питательные вещества и молекулы кислорода.
Наиболее крупными внутримозговыми полыми образованиями, безусловно,являются боковые желудочки. Они локализованы ниже мозолистого тела – по обе стороны от срединной мозговой линии, симметричны относительно друг друга. В каждом принято выделять несколько отделов – передний с нижним, а также задний рога и само тело. По форме напоминают английское S.
Оценивают размер желудочков в норме с учетом индивидуальных анатомических особенностей – единых стандартов не существует. Специалисты ориентируются на усредненные параметры. Важным представляется знание этих размеров для малышей до года – с целью ранней диагностики гидроцефалии.
Нормальные значения для детей:
| Анатомическая единица | Новорожденные, мм | 3 мес., мм | 6 мес. – 9 мес., мм | 12 мес., мм |
| Боковой желудочек | 23.5-/+ 6.8 | 36.2 -/+3.9 | 60.8-/+6.7 | 64.7-/+12.7 |
Для взрослых лиц параметры должны находиться в диапазоне – передний рог бокового желудочка менее 12 мм у людей до 40 лет, тогда как тело его 18–21 мм до 60 лет. Превышение возрастных размеров желудочков мозга более 10% требует дополнительных исследований – для установления и устранения первопричины.
Классификация
Основные критерии для разделения дилатаций боковых желудочков в мозге являются – размеры полостей, этиология расширения, возраст больного,локализация патологических изменений.
Каждый невропатолог выбирает оптимальную для себя классификацию расстройства. Тем не менее, большинство врачей придерживается усредненных принципов постановки диагноза:
- По времени предполагаемого появления очага в мозге:
- дородовой период;
- выявление увеличения желудочков головного мозга у новорожденных;
- расширение полостей головного мозга у взрослых.
- По локализации:
- увеличение левого желудочка;
- правосторонний очаг;
- двустороннее поражение.
- По этиологии:
- постинфекционная дилатация желудочков;
- посттравматические изменения;
- токсическое расширение;
- опухолевый очаг в мозге;
- сосудистые болезни.
- По степени тяжести:
- слегка увеличенные желудочки головного мозга у грудничков;
- умеренная дилатация;
- тяжелые изменения в желудочках.
Дополнительно специалист может указывать в диагнозе, присутствуют ли осложнения – к примеру, гидроцефалия либо интеллектуальные/неврологические проблемы.
Диагностика и исследования
Асимметрия желудочков головного мозга при первоначальной диагностике определяется измерением размеров боковых желудочков с помощью существующих специальных методик. Измеряются их глубина и величина полости прозрачной перегородки. Полость располагается в третьем желудочке. Это дает возможность выявления нарушений, в силу действия которых расширяются полости. К таким расстройствам относятся анатомические аномалии, нарушения ЦНС, избыточное воспроизводство ликвора или опухоли, последствия травматических повреждений.
Гидроцефалия, возникающая как следствие длительной компрессии ликвора на несформированные соединения костных структур, сначала не заметна, но может увеличиться и проявиться, если состояние боковых желудочков, не соответствующее норме, сразу не выявлено. Диагностика начинается с осмотра у невролога. Собирается общий анамнез, измеряется голова малыша, проверяются сухожильные и мышечные рефлексы, тонус мышц. Нейросонография проводится через родничок. Это УЗИ, исследующее каждую полость головного мозга, возможно, пока родничок открыт. Но основной диагноз можно выставить только после проведения МРТ. Магнитно-резонансная томография дает представление не только о размерах мозгового желудочка, но и о наличии или отсутствии посторонних образований; состоянии вен, артерий, сосудов, каналов.
КТ в отношении информативности уступает МРТ, но увеличивает общий объем информации и позволяет получить дополнительные сведения. Иногда при таких исследованиях обнаруживается псевдокиста как возможный повод асимметрии или плохая проходимость ликвора. Это заболевание в современных условиях легко поддается медикаментозному лечению, если диагностировано на ранней стадии, пока не начало расширяться.
Лечение дилатации боковых желудочков головного мозга осуществляется 2-мя путями — консервативным и оперативным — и определяется как причинами возникновения подобного явления, так и взглядом на возможные последствия. Чаще всего к оперативному лечению прибегают при анатомических патологиях или опухолях. При этом неважно, есть ли поражение обоих желудочков или не в норме только левый или правый.
Внимание, проявляемое неврологами к состоянию боковых желудочков мозга, особенно когда они имеют дело с детьми, связано с важной ролью, которую играет в организме спинномозговая жидкость. Желудочки — ее резервуары, выполняющие защитные и трофические функции.
Причины
Этапы развития центральной нервной системы у человека предусматривают, что с увеличением размеров мозга, будут изменяться и параметры желудочков. Для каждого периода причины дилатации боковых полостей имеют свои особенности.
В целом же, основные провоцирующие факторы будут следующими:
- мозговые травмы или падения;
- нейроинфекции – к примеру, менингит либо врожденный сифилис;
- новообразования мозга;
- тромбоз церебральных сосудов;
- инсульты;
- аномалии развития мозговых структур – к примеру, передних рогов желудочков.
Механизм развития дилатации заключается в гиперпродукции спинномозговой жидкости, или же нарушении ее адсорбции/оттока из полостей мозга.
В ряде случаев установить точно причину расширения полостей не удается –идиопатический вариант расстройства. Схему терапии врач будет подбирать с учетом основных клинических признаков. Реже в основе дилатации усматривается атипичная закладка структур мозга – требуется тщательно собрать анамнез у матери ребенка, какие она перенесла болезни в период вынашивания беременности.Иногда патология носит наследственный характер – генетические отклонения.
Как лечат?
В зависимости от этиологии и тяжести болезни может быть выбрано консервативное или хирургическое лечение гидроцефалии. Консервативная терапия наиболее эффективна в случаях развития нарушений из-за воспалительного процесса, травмы или незначительного кровоизлияния и заключается в устранении причины болезни. Чтобы снизить внутричерепное давление и облегчить состояние пациента, назначают мочегонные лекарственные препараты.
Хирургическое вмешательство показано при врожденных патологиях для коррекции пороков развития, а также при наличии объемных процессов – больших внутричерепных гематом, опухолей, абсцессов и т.д. В случае, когда устранить причину не удается ни консервативным лечением, ни хирургическим удалением, нейрохирург назначает шунтирующую операцию и создает добавочные пути для оттока излишков спинномозговой жидкости.
Симптоматика
На начальном этапе формирования для расширенных желудочков головного мозга у грудничка каких-либо особых клинических признаков может не определяться – ребенок ведет себя согласно возрастной норме.Ведь адаптационные механизмы способны бороться с гиперпродукцией ликвора.
Однако, по мере усиления расширения боковых желудочков головного мозга у ребенка, его начинают беспокоить последствия гидроцефалии – патологического давления на мозговые структуры из-за отечности тканей. Основные признаки внутричерепной гипертензии:
- частые приступы головной боли;
- медленное за ращение родничков;
- взбухание тканей между швами черепа;
- тошнота и рвота без улучшения самочувствия;
- снижение аппетита, частое срыгивание;
- ухудшение сна;
- запрокидывание головы cзади;
- гипертонус мышц;
- отсутствие интереса к происходящим событиям, апатия;
- склонность к эпилепсии.
У взрослых больных нарушение оттока ликвора из боковых желудочков проявляется ощущением постоянного распирания внутри головы, упорным головокружением с подташниванием. Снижается трудоспособность человека, у него возникают тревожно-фобические состояния. При этом прием стандартных анальгетиков не способствует улучшению самочувствия.
При стойком гипертензионно-гидроцефальном синдроме у людей формируются парезы/параличи, а также серьезные затруднения с речью, зрением, слухом,снижение интеллектуальных возможностей.
Симптомы и проявления
Увеличение и расширение желудочков мозга может протекать по типу гидроцефалии и гипертензионно-гидроцефальному синдрому.
Характеристика первого типа.
По клинической картине гидроцефалия отличается у детей до года и детей после одного года жизни. При первом варианте у грудного ребенка изменяется форма и размер головы: лоб выступает над лицом. Кожа головы бледнеет и сморщивается, становится похожей на голову стариков.
При гидроцефалии у детей после года наблюдается прогрессирующее изменение швов.
Симптомы увеличения желудочков обуславливаются повышенным внутричерепным давлением. Параллельно развиваются атрофические и дегенеративные изменения в центральной нервной системе.
У новорожденных детей глаза смещаются книзу – это симптом «заходящего солнца». Снижается точность и сужаются поля зрения. Патология может привести к полной или частичной потере зрения. Поражается отводящий нерв. Это приводит к косоглазию. Развиваются двигательные расстройства: парез – ослабление силы скелетной мускулатуры.
Поражается мозжечок. Расстраивается координация и статика. Как правило, дети-гидроцефалы сильно отстают в интеллектуальном и физическом развитии. У них нарушается эмоциональная сфера: они раздражительны, возбудимы, или наоборот, часто вялы и апатичны. Не играют с другими детьми и с трудном с ними контактируют.
Гидроцефалия у подростков и взрослых особей проявляется утренней сильной головной болью, тошнотой и рвотой. У больных угнетаются функции высшей нервной деятельности. Нарушается сознание, расстраивается память и мышление, нарушается речь. У пациентов отекают зрительные диски, что приводит к атрофии зрительного нерва и потере зрения.
Осложнение гидроцефалии – окклюзионный криз. Его причина – внезапное нарушение цереброспинальной жидкости из желудочков мозга. Патологические состояние развивается быстро. Накопленная жидкость сдавливает мозг и стволовые структуры.
Расширение 4 желудочка головного мозга – основной фактор развития окклюзионного криза. В таком случае ликвор сдавливает ромбовидную ямку и средний мозг. Симптомы: острая головная боль, рвота и тошнота, психическое возбуждение, вынужденное положение головы. Нарушается сознание, расстраиваются глазодвигательные функции. В остром состоянии учавствует вегетативная нервная система: усиливается потоотделение, замедляется сердечный ритм, бледнеет кожа, краснеет и теплеет лицо. Быстро развиваются двигательные нарушения: появляются тонические судороги.
Расширение боковых желудочков развивается также по второму варианту: по типу гипертензионно-гидроцефального синдрома. Его признаки:
- Ребенок плохо сосет грудь, часто отказывается от пищи. Если удалось покормить – грудничка рвет фонтаном.
- Сниженный мышечный тонус.
- Врожденные базальные рефлексы частично угнетены. Слабое хватание и глотание.
- Периодические судороги, дрожь конечностей.
- Косоглазие, ухудшение остроты зрения, выпадение боковых полей.
- Симптом «восходящего солнца».
- Выпирающие черепные швы.
- Стремительный рост головы.
У детей школьного возраста синдром обычно провоцируется черепно-мозговыми травмами.
Диагностика
Если специалист наблюдает признаки сбоя в циркуляции ликвора по мозговым желудочкам, или у больного имеются жалобы на ухудшения самочувствия, то требуется инструментальное подтверждение дилатации полостей мозга.
Выявить признаки незначительной дилатации боковых желудочков удается с помощью такого современного метода диагностического обследования, как магнитно-резонансная томография. На получаемых изображениях мозговых структур можно детально увидеть область расширения,площадь поражения, вовлеченность в процесс соседних тканей мозга.
Повышенное внутричерепное давление будет диагностировано также с помощью процедур:
- эхоэнцефалоскопия;
- электроэнцефалография;
- офтальмоскопия;
- исследование ликвора – выявление перенесенных нейроинфекций;
- анализы крови – общий, биохимический, на аутоиммунные процессы.
Только после тщательного сопоставления всей информации от диагностических процедур, невропатолог сможет оценить тяжесть дилатации боковых желудочков,установить первопричину патологического состояния и подобрать оптимальные терапевтические мероприятия.
Из-за чего развивается заболевание?
Существует множество факторов, оказывающих влияние на механизм циркуляции цереброспинальной жидкости, причем они различны для внутриутробного развития и для приобретенных форм патологии.
К причинам гидроцефалии врожденного типа относят:
- отклонения в формировании ликворной системы мозга;
- пороки строения подпаутинного пространства;
- аномалии краниовертебральной области;
- влияние внутриутробных инфекций;
- родовые травмы.
В случаях приобретенной гидроцефалии причины нарушения циркуляции ликвора резко отличаются. Это:
- инфекционные воспаления ткани и оболочек головного мозга;
- травмы черепно-мозговой локализации;
- патологические процессы в сосудах мозга (инсульты, кровоизлияния, гематомы);
- внутримозговые опухоли, кисты желудочка.
Иногда встречается атрофическая форма заболевания, развивающаяся вследствие возрастной или травматической атрофии тканей мозга при нарушениях мозгового кровообращения.
Тактика лечения
Само по себе расширение размеров желудочков мозга не требует вмешательства– если отсутствуют клинические признаки сбоя внутричерепного давления. Тогда как в случае нарушения ликвородинамики и сформировавшихся на этом фоне симптомов ухудшения самочувствия, врачи будут рекомендовать консервативную терапию:
- диуретики – снятие отечности с тканей мозга;
- нейропротекторы – коррекция проведения нервных импульсов;
- вазоактивные средства – улучшение питания мозга;
- ноотропы – улучшение местного кровообращения;
- седативные медикаменты – нормализация психосоматического фона;
- противовоспалительные/антибактериальные препараты – если в основе расстройства течение инфекционного процесса.
Нейрохирургическое вмешательство потребуется, если дилатация желудочков сформировалась из-за новообразований мозга,тромбоэмболии церебральных сосудов. По потребности проводится вентрикулостомия –создание нового соединения между полостями мозга.
Прогноз и профилактика
Последствия асимметрии боковых желудочков различны. Их выраженность и тяжесть напрямую зависят от размеров патологического расширения и возраста больного. Так при легких формах расстройства у детей наблюдается кратковременное отставание развития – как интеллектуального, так и физического.При своевременной медицинской помощи гидроцефалия полностью устраняется.
Тогда как при тяжелом течении дилатации полостей формируются различные неврологические болезни – к примеру, церебральный паралич, либо стойкие психические отклонения. Специфической профилактики асимметрии желудочков не существует, поскольку предугадать ее появление практически невозможно. Однако, специалисты указывают, что при стремлении к здоровому образу будущей матери способствует рождению на свет малыша с нормальными размерами полостей мозга. Для этого необходимо отказаться еще до беременности от вредных индивидуальных привычек, правильно питаться, хорошо высыпаться,избегать психоэмоциональных и стрессовых перегрузок.
